肾组织病理染色结果怎么看?超全攻略,建议码住
发布时间:2025-11-19
浏览次数:17515
作者:东极药物
肾是人体主要的排泄器官,以形成尿液的方式排出体内的代谢废物,对人体的水盐代谢和离子平衡起调节作用,参与维持机体内环境的相对稳定,此外,肾还分泌多种生物活性物质,如肾素,前列腺素和促红细胞生成素等。肾呈···
肾是人体主要的排泄器官,以形成尿液的方式排出体内的代谢废物,对人体的水盐代谢和离子平衡起调节作用,参与维持机体内环境的相对稳定,此外,肾还分泌多种生物活性物质,如肾素,前列腺素和促红细胞生成素等。
肾呈豆形,外侧缘隆凸,内侧缘中部凹陷,表面有致密结缔组织形成的被膜,实质分成皮质和髓质。肾实质由大量肾单位和集合管构成,每个肾单位包括一个肾小体和一条与它相连的肾小管,是尿液形成的结构和功能单位。肾小体呈球形,直径约200μm,由肾小囊和血管球组成,肾小球即血管球,是肾小囊中一团盘曲的毛细血管,毛细血管内皮游离面的细胞衣富含带负电荷的唾液酸糖蛋白。肾小管的管壁是由单层上皮构成,上皮外为基膜核极少量结缔组织,分成近端小管和远端小管。

一、常见切面
作为人体中重要的排泄器官,它通过形成和排除尿液,维持机体的水和电解质平衡,当肾脏出现异常时,可以通过组织病理学观察组织形态变化,因此,不同观察部位对应切面也不同。
1. 纵切最大面,病理可同时观察皮质(肾小球、肾小管)、髓质、肾盂。
2. 横切切面小,可同时观察皮质、髓质。
二、常见染色指标
1.评估足细胞损伤程度:WT-1、synaptopodi。
2.肾小管标记:PAX8、CD10、Napsin A。
3.纤维化程度:α-SMA、fibronectin。
4.原发性肾小球疾病:IgA、IgG、IgM、C3。
5.炎症细胞标记:CD68、CD3。
三、常见染色类型
1.HE染色:主要观察细胞内部的形态结构,苏木精染液为碱性,主要使细胞核内的染色质雨胞质内的核酸呈蓝紫色;伊红为酸性染料,主要使细胞质和细胞外基质中的成分呈红色。
2.Masson染色:观察胶原纤维沉积情况,经Masson染色后,胶原纤维呈蓝色,肌纤维红色,细胞核蓝黑色。
3.PAS染色:一般用来显示糖原和其他多糖物质,显示肾小球内的细胞增生、浸润和系膜基质等,并能很好地显示基底膜。
四、分析案例
1.肾脏皮质和髓质结构清楚,皮质区肾小球和肾小管清楚可辨,未见明显病变。

2.肾脏皮质和髓质结构清楚,皮质区肾小管上皮细胞轻度肿胀和空泡变性(蓝色箭头),部分肾小管上皮细胞胞核固缩(坏死,黄色箭头),轻度;间质血管充血,尤其是髓质区(黑色箭头);未见其他明显病变。

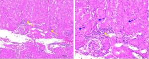
3.肾脏皮质和髓质结构清楚,皮质局部肾小管上皮细胞肿胀,核固缩和核消失(坏死,蓝色箭头);间质有轻微的纤维化和炎性细胞浸润(黄色箭头),局灶性。

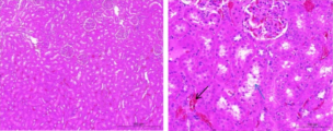
4.肾脏皮质和髓质结构清楚可辨,皮质少量的肾小管上皮细胞轻微肿胀和空泡变性(蓝色箭头),间质轻度充血(黑色箭头)。

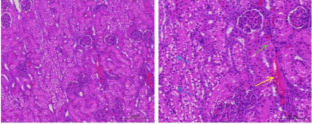
5.肾脏皮质和髓质结构清楚可辨,皮质肾小管上皮细胞明显空泡变性(蓝色箭头),弥散性;少量的肾上管上皮细胞胞核固缩(绿色箭头);间质毛细血管轻微充血(黄色箭头);未见其他明显病变。

文章出自:验外实包 想了解更多请关注:http://www.dj-cro.com/













